Article
Kids’ Posture: Why Early Chiropractic Exams Matter

Subscribe to our newsletter
Subscribe to our newsletter to recive the latest blog posts to your inbox every week.
How does early chiropractic care support healthy posture in children?
Early chiropractic screening identifies imbalances, teaches body mechanics, and corrects alignment before compensations form, lowering injury risk and supporting lifelong spinal health.
Posture is a term thrown around fitness centers and pediatricians’ offices as though it’s uber critical in our lives. However, the understanding of good posture for most people is both vague and superficial. And most times, the goal is for vanity rather than health.
So, what is good posture?
Good posture is the optimal alignment of the body in which the joints, muscles, and spine are in a balanced and efficient position, minimizing strain and promoting functional movement. It allows the body to move and function with the least amount of stress on supporting muscles and ligaments.
But knowing the definition isn’t enough. That’s why it’s important to look at how posture really affects kids and what can be done to protect them.
Why does good posture matter for kids’ long-term health?
Good posture distributes load evenly across tissues, protects joints, supports breathing and energy, and reduces overuse injuries and early degeneration throughout growth.
All humans are born with asymmetrical and imbalanced musculoskeletal systems. These imbalances set the stage for future injuries, degenerative changes, and lifetime costs. For children, these imbalances can influence how they grow, increase the risk of sports injuries, and create habits that may follow them into adulthood.
Hence, good posture is about much more than looking good or feeling good. Much like a car with front-end misalignment that causes one tire to wear out early, the body also suffers negative effects from postural imbalances, including injuries and premature degeneration, that can add enormous costs over a lifetime.
What is Dr. Maggs Law of Tissue Tolerance?
Maggs Law states that when the loading of a tissue exceeds the capacity of that tissue compensatory physiological changes occur.
.jpg)
Dr. Maggs’ Law of Tissue Tolerance: When the stress placed on a tissue exceeds what that tissue can handle, the body makes compensations.
This means our real goal should be to find and correct abnormal stress on the body, whether or not symptoms are present, rather than just treat pain the way the medical and insurance industries have done for years.
To put the Law of Tissue Tolerance into practice, detailed postural exams should become part of everyone’s health routine sooner rather than later. When started in childhood, these exams can uncover and correct problems long before pain or degeneration appear. One such tool is the Structural Fingerprint® Exam (SFE), developed in 1994 and performed on thousands of patients. It remains the only biomechanical exam designed for both injured and uninjured patients.
So, who should be responsible for performing these exams? Chiropractors are the most qualified, since they not only perform the tests but also apply the right recommendations and treatment. While other professions may be licensed to run these exams, most lack the full understanding of the musculoskeletal system needed to act on the results.
What does healthy posture look like in children?
Healthy posture shows a neutral spine, head balanced over shoulders, level hips, knees tracking over feet, and symmetrical weight-bearing without strain.
When Standing:
- Head is level, not tilted forward or back.
- Ears aligned over the shoulders.
- Shoulders back and relaxed, not rounded.
- Chest open, not collapsed.
- Spine maintains its natural curves: cervical (inward), thoracic (outward), lumbar (inward).
- Pelvis is neutral (not tilted excessively forward or backward).
- Weight evenly distributed over both feet.

It’s a common but flawed assumption that most people have balanced posture and normal spinal curves, with only the occasional bone slipping out of place. But that’s not how the body works. The Structural Fingerprint® Exam shows the truth: everyone is born unique and imbalanced (Fig. 1). Full-body asymmetry, combined with falls, injuries, bad habits, repetitive activities, and lack of conditioning, means we’re all more likely to face injuries, early degeneration, and long-term costs few of us are prepared to pay.
How does neck alignment influence whole-body posture?
Cervical curve position sets head balance; loss of lordosis shifts loads forward, overworking muscles and distorting alignment down the chain.
The neck is often the lead actor in the posture conversation, especially with how common the phrase “tech neck” has become. In fact, kids and teens are showing signs of tech neck (also known as “text neck”) earlier as screen time continues to rise.
But there’s more to the story. The neck is actually the fifth floor of a compensatory building. After performing thousands of Structural Fingerprint® Exams (including x-rays), I can tell you everyone shows some mix of imbalances in the feet, knees, femoral head heights, and lumbar spine. The neck will only position itself in a way that provides balance to the entire structure.


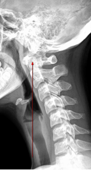
Add to this the fact that fewer than 10% of people have a normal cervical curve with a normal cervical gravity line (Fig. 2), and good posture becomes an even greater challenge. Most people develop varying degrees of abnormal curves and abnormal gravity lines (Fig. 3) long before they ever buy their first smartphone.
Obviously, when you look at the Key Characteristics of Good Posture, “ears aligned over the shoulders” is much harder for someone in Fig. 3 than in Fig. 2, yet we still expect the same result: “Sit up straight.” But every person’s structure is 100%unique, asymmetrical, and imbalanced. Wouldn’t it make more sense to understand those differences and see the findings for each individual? And wouldn’t it be smart for the chiropractic profession to lead the way in valuing posture and promoting detailed testing that allows for custom recommendations for everyone?
How can families and clinics make posture a priority?
Build routine screening, daily posture habits, and ergonomics at home and school; schedule exams and follow personalized corrective plans to sustain improvements.
The neck is only one part of the posture story. Imbalances occur throughout the body, from mild to severe, and they raise the risk of pain, injuries, and lifetime costs. The good news is these problems can be detected early with proper testing, such as the Structural Fingerprint® Exam, which includes a consultation, physical exam, and standing biomechanical x-rays, with MRI when needed.
As a society, we can’t treat posture as nothing more than the occasional “sit up straight.” Good posture should be a top priority for younger patients, starting with exams at age 12 and continuing with updates through early adulthood. These exams lay the foundation, but they are not enough on their own. To truly protect posture over a lifetime, prevention has to continue in the way patients are cared for everyday.
That’s where chiropractic makes the difference. Regular adjustments, combined with personalized rehab exercises, give each patient the chance to correct imbalances, strengthen their structure, and move toward lasting health. The effort is ongoing, but the payoff is enormous: fewer injuries, lower costs, and better quality of life.
Real change will only come when we recognize the importance of posture and commit to the testing, treatment, and long-term management it requires. And it starts with the chiropractic profession stepping forward to lead
Children's Posture FAQs
Why does posture matter for children?
Good posture distributes load evenly, protects joints and muscles, supports breathing and energy, and lowers injury risk and long-term degenerative costs as children grow.
When should kids get a posture exam?
Begin detailed posture exams around age twelve and repeat during growth spurts; early screening uncovers imbalances before pain, enabling correction and healthier lifelong alignment.
What is the Structural Fingerprint® Exam?
The Structural Fingerprint® Exam combines postural analysis, functional tests, and standing biomechanical x-rays to reveal asymmetries and guide personalized corrective recommendations for kids and athletes.
Who should evaluate and correct posture problems?
Chiropractors perform comprehensive biomechanical exams and provide targeted adjustments and rehab, making them well suited to detect imbalances and lead customized posture correction programs.
FAQs
David, D., Giannini, C., Chiarelli, F., & Mohn, A. (2021). Text NeckSyndrome in Children and Adolescents. International Journal of EnvironmentalResearch and Public Health, 18(4), 1565. https://doi.org/10.3390/ijerph18041565
How Chiropractic Care Can Help Improve Your Child’s Posture and SpinalHealth. (n.d.).Generations Health and Wellness Center. Retrieved August 27, 2025, from https://generationshwc.com/how-chiropractic-care-can-help-improve-your-childs-posture-and-spinal-health/
Maggs, DC, T. (2025). The Structural Fingerprint Exam for YoungAthletes. Dynamic Chiropractic. https://dynamicchiropractic.com/article/57116-the-structural-fingerprint-exam-for-young-athletes

Dr. Tim Maggs has over 45 years of experience specializing in sports injuries. Creator of the Structural Management® Program and the Structural Fingerprint® Exam, he’s a lifelong runner and founder of Team CPOYA, an international team of Kenyan athletes. Dr. Maggs has published widely and serves as Director of Sports Biomechanics for The Basketball League.
Designed for chiropractic practices
ChiroTouch was intentionally designed specifically for cash and insurance billing practices like yours.




